Die neueste Version der 3Shape TRIOS-Lösung zum Erstellen digitaler Abformungen wurde kürzlich auf dem Midwinter-Event in Chicago vorgestellt. Unter den Dentalexperten erregten dort besonders die neuen Funktionen zur Farbbestimmung und zur Aufnahme von HD-Fotos Aufsehen.
Bereits vor Chicago erhielten ausgewählte Zahnärzte die Möglichkeit, unseren neuen TRIOS in ihrer eigenen Praxis zu testen. Dr. Simon Kold vom Herning Implant Center ging sogar einen Schritt weiter. In einem schwierigen Fall von Zahnverfärbung sah Dr. Kold eine einzigartige Gelegenheit, die neue TRIOS-Farbbestimmung mit der herkömmlichen Methode zu vergleichen. Wir sprachen mit Dr. Simon Kold über sein Auswertungsverfahren und die Ergebnisse. Lesen Sie hier das gesamte Interview….
Wie bewerteten Sie die Funktion zur Farbbestimmung?
Zufällig hatte ich etwa zur selben Zeit, als ich gebeten wurde, den neuen TRIOS zu testen, einen perfekt geeigneten Fall, bei dem sich die Farbbestimmung recht anspruchsvoll gestaltete. Ein junger männlicher Patient mit ansonsten perfekten Zähnen hatte einen auffällig verfärbten Schneidezahn, den er ersetzen lassen wollte. Die Tatsache, dass es hier um einen einzelnen Zahn ging und es zudem ein Frontzahn war, machte es noch schwieriger, die richtige Farbe passend zu den anderen Zähnen zu treffen – hier hatte ich also den idealen Fall, um die neue digitale Farbbestimmung unter schwierigen Bedingungen zu testen.
Erzählen Sie uns, wie der Test ablief.
Das Schöne an dem Test war seine Einfachheit. Im Prinzip arbeitete ich mit meinem Labor daran, zwei neue Kronen für dieselbe Behandlung herzustellen, und verglich darauf das jeweilige Aussehen der Kronen im Mund des Patienten. Eine Krone wurde mit der herkömmlichen Methode hergestellt, die ich zuvor immer angewendet hatte, das heißt die Farben wurden manuell angeglichen und die ermittelten Farbwerte wurden zusammen mit Patientenfotos an das Labor geschickt. Bei der anderen Krone wandte ich die digitale TRIOS-Farbbestimmung und TRIOS-HD-Fotos von 3Shape an.
Welche Erfahrungen haben Sie mit den neuen TRIOS-Funktionen gemacht?
Die Farbbestimmung hätte nicht einfacher ablaufen können, da sie automatisch erfolgt, während ich scanne. Alle Farben werden in der Abformung gespeichert und ich kann die Farbwerte in den von mir ausgewählten wichtigsten Zahnbereichen anzeigen. Ebenso einfach anzuwenden ist die Funktion zur Aufnahme von HD-Fotos. Dazu positioniert man die Scannerspitze einfach an der gewünschten Stelle und löst die Aufnahme aus. In diesem Fall führte ich einen Vorpräparationsscan durch und nahm eine Serie von HD-Fotos auf, um die ästhetischen Details zu sehen. Nach der Präparation des Zahns musste ich lediglich erneut den Präparationsbereich scannen, da TRIOS neue Scans automatisch mit dem vorherigen Vorpräparationsscan zusammenführt, was mir viel Zeit erspart. In diesem Punkt nahm ich weitere HD-Fotos auf, um ein klares Bild vom Präparationsgrenzenbereich zu erhalten.
Welche Ergebnisse erhielten Sie?
Ich arbeite mit hervorragenden Laboranten zusammen und ihre Fähigkeit, genaue Farbanpassungen bei Kronen zu erzielen, hat mich immer wieder verblüfft Daher war ich sehr gespannt darauf, zu sehen, wie diese Krone, die auf der TRIOS-Farbbestimmung basierte, verglichen mit einer ähnlichen, aber auf herkömmliche Art angepassten Krone, abschneiden würde. Um ehrlich zu sein – beide Kronen sahen fantastisch aus – am Modell und auch im Mund des Patienten. Bei sehr genauer Betrachtung und unter optimaler Beleuchtung bemerkte ich jedoch eine geringfügige unbeabsichtigte Schattierung an der herkömmlich gefertigten Krone. In diesem speziellen Fall ging also TRIOS als knapper Sieger hervor.
Was schließen Sie daraus?
Nun, zunächst bin ich froh über eine Farbbestimmungslösung zu verfügen, die mir viel Zeit spart und mindestens so gute Ergebnisse liefert wie die langsamere und weniger komfortable herkömmliche Methode. Um die Befunde zu überprüfen, führten wir kurz darauf einen ähnlichen Test mit einem anderen Patienten durch – und auch dieser endete mit einem vergleichbar positiven Ergebnis. Der große Vorteil des neuen TRIOS ist, dass ich mithilfe der Farbbestimmung und der HD-Fotos zusätzlich zu den wichtigen Details auf ganz einfache Weise viel mehr Informationen zusammen mit der digitalen Abformung an das Labor senden kann – diese Informationen werden nebenbei erfasst, während ich das Scannen erledige.
In unserer Praxis haben wir fast alle Abformungen digital genommen und enorm davon profitiert. Doch mit Einführung der zusätzlichen Funktionen, die einfach während des Scannens genutzt werden können, steigert 3Shape die Vorteile der digitalen Zahnmedizin nun auf ein ganz neues Niveau.
Vor der Behandlung – der Patient mit einem verfärbten mittleren Schneidezahn
.
Vor der Präparation des Zahns – Dr. Kold führte einen Vorpräparationsscan durch und nahm HD-Fotos auf, um Details zur ursprünglichen Situation zu erfassen.
Scannen nach der Präparation, mit einem zusätzlichen HD-Foto zur einfachen Erkennung der Präparationsgrenze während der Konstruktion

Auf dem TRIOS-Bildschirm werden bei Auswahl der relevanten Bereiche am benachbarten Schneidezahn die erfassten Farbwerte dargestellt, die das Labor zur Herstellung einer farblich angepassten Krone verwenden kann.
Zwei gefertigte Kronen – links: basierend auf der TRIOS-Farbbestimmung; rechts: basierend auf herkömmlichen Farbanpassungsmethoden
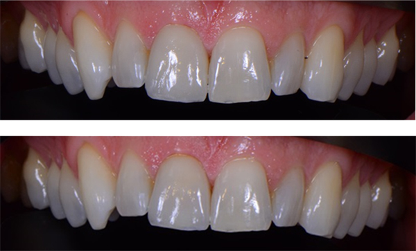
Vergleich im Mund des Patienten – die Krone im Bild OBEN basiert auf der digitalen TRIOS-Farbestimmung, die Krone im Bild UNTEN wurde mit einer herkömmlichen Farbanpassungsmethode gefertigt.
Eingesetzt – die endgültige Krone, die auf Basis der TRIOS-Farbbestimmung gefertigt wurde