3Shape TRIOS misst automatisch die Farbwerte der Zähne und zeichnet diese beim Erstellen einer digitalen Abformung auf. Ein äußerst zeitsparender Schritt, durch den Sie in Ihrem Arbeitsablauf keine Farbschlüssel mehr brauchen.
Um die Farbwerte der Zähne beim Scannen automatisch zu messen, brauchen Sie:

Wie kann überprüft werden, ob TRIOS-Scanner über die Farbbestimmungsfunktion und die korrekte Softwareversion verfügt
Um zu überprüfen, ob Ihr TRIOS-Scanner über die Farbbestimmungsfunktion verfügt, gehen Sie zum Bereich „Konfigurieren/Allgemein” und finden Sie das Feld mit dem Namen „Info/Scanner” oben rechts. Hier finden Sie alle Informationen zur Software, die 1.3.2.1 (oben auf der Liste) sein sollte, und zum Scannermodell, das TRIOS Color-P13 Shade (unten auf der Liste) sein sollte.
Sie werden auch ein Farb-Kalibrierungskit benötigen. Das Farb-Kalibrierungskit besteht aus einem weißen Teil, das auf den TRIOS-Aufsatz angebracht wird, und einem schwarzen Teil mit einem Farbmuster auf einer Seite und einem grauen Rechteck auf der anderen Seite.

Wenn eines der Teile fehlt, kontaktieren Sie bitte Ihren Händler.
5 einfache Schritte zur Erstellung einer digitalen Abformung mit Farbnahme
|
|
|
|
|
|
|
|
|
|
|
|
|
|
|
Drei Scanstrategien
In vielen Fällen wird es nötig sein, die Farbe des Zahnes neben der Präparation zu messen. Der Scanvorgang zum Zweck der Farbbestimmung eines Zahnes erfordert etwas längeres Scannen als sonst, und es ist daher wahrscheinlich, dass die Präparation dabei auch mitgescannt wird. Es ist wichtig, sicherzustellen, dass bei diesem zusätzlichen Präparationsscan keine Daten zur kollabierten Gingiva in den Präparationsscan mitaufgenommen werden, da dies die Erfassung der Präparationsgrenze beeinträchtigen kann. Wenden Sie eine der folgenden drei Scan-Strategien an, um eine Beeinträchtigung der Erfassungsqualität der Präparationsgrenze zu vermeiden.
Erste Scanstrategie: Scannen Sie zuerst die Präparation, speichern und schützen Sie anschließend die Präparationsgrenze.
Entfernen Sie den Retraktionsfaden und scannen Sie die Präparation. Anschließend speichern und schützen Sie die Präparationsgrenze mit Hilfe des Werkzeugs „Oberfläche sperren”. Dadurch wird sichergestellt, dass der Präparationsgrenzenbereich beim weiteren Scannen unverändert bleibt.
|
|
1. Schritt: Entfernen Sie den Retraktionsfaden und scannen Sie die Präparation sofort. |
|
|
2. Schritt: Speichern und schützen Sie den Scan der Präparationsgrenze mit Hilfe des Werkzeugs „Oberfläche sperren” (der Bereich um die Präparationsgrenze wird farbig markiert). Betätigen Sie die Schaltfläche „Werkzeuge” (in der Symbolleiste), um auf das Werkzeug „Oberfläche sperren” zugreifen zu können. |
|
|
3. Schritt: Scannen Sie den übrigen Teil des Zahnbogens. |
|
|
4. Schritt: Wählen Sie das Symbol „Farbe” (auf der rechten Seite des Bildschirms). |
|
|
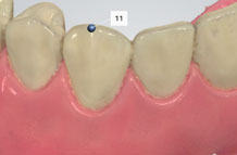
5. Schritt: Platzieren Sie den Kreis, um die Farbe zu bestimmen. |
Zweite Scanstrategie: Scannen Sie die Präparationsgrenze als letztes.
Scannen Sie zunächst den Zahnbogen. Scannen Sie danach den Nachbarzahn zum Zweck der Farbbestimmung und schneiden Sie die Präparationsgrenze aus. Entfernen Sie abschließend den Retraktionsfaden und scannen Sie die Präparationsgrenze.
|
|
1. Schritt: Scannen Sie den Zahnbogen mit dem liegenden Retraktionsfaden. |
|
|
2. Schritt: Wählen Sie das Symbol „Farbe” (auf der rechten Seite des Bildschirms). Eine blaue Markierung erscheint in den Bereichen, wo die Scanqualität nicht ausreichend für die Farbbestimmung ist. Scannen Sie den Zahn, dessen Farbe Sie bestimmen möchten, so lange, bis die blaue Markierung verschwindet. |
|
|
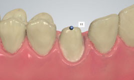
3. Schritt: Platzieren Sie den Kreis, um die Farbe zu bestimmen. |
|
|
4. Schritt: Schneiden Sie die Präparationsgrenze aus. |
|
|
5. Schritt: Entfernen Sie den Retraktionsfaden und scannen Sie die Präparationsgrenze sofort. |
Dritte Scanstrategie: Verwenden Sie einen Vorpräparationsscan.
Nehmen Sie die Farben mit dem Vorpräparationsscan auf. Scannen Sie anschließend die Präparation.
|
|
1. Schritt: Wählen Sie im Auftragsformular die Option „Vorpräparationsscan hinzufügen” |
|
|
2. Schritt: Gehen Sie zur Vorpräparationsscan-Seite und scannen Sie den Zahnbogen. |
|
|
3. Schritt: Wählen Sie das Symbol „Farbe” (auf der rechten Seite des Bildschirms). Eine blaue Markierung erscheint in den Bereichen, wo die Scanqualität nicht ausreichend für die Farbbestimmung ist. Scannen Sie den Zahn, dessen Farbe Sie bestimmen möchten, so lange, bis die blaue Markierung verschwindet |
|
|
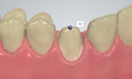
4. Schritt: Um die Farbe zu bestimmen, platzieren Sie den Kreis auf dem Vorpräparationsscan. |
![]() |
5. Schritt: Gehen Sie zur Präparationsscan-Seite und scannen Sie nur die Präparation. |