Case report: realizzazione di un overaly in disilicato di litio - full digital flow
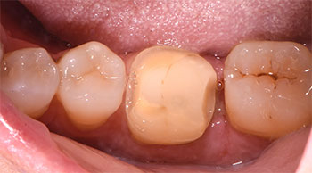
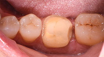
Il paziente, un uomo di 62 anni, si presentava alla nostra attenzione lamentando la frattura di un vecchio restauro in corrispondenza dell’elemento 4.6.
Si procedeva dunque ad una corretta valutazione anamnestica, ad un esame obiettivo completo, corredato da indagini radiografiche.
Tale valutazione delineava una frattura parziale della porzione occluso-distale dell’elemento 4.6 sottoposto anni prima ad un trattamento endodontico.

L’esecuzione di una radiografia endorale periapicale mostrava inoltre come tale frattura interessasse il tessuto d’attacco sovracrestale terminando 1 mm sottocresta.
Nell’ottica di una odontoiatria minimamente invasiva, si decideva dunque di eseguire un allungamento di corona clinica al fine di ristabilire una corretta connessione tra margine restaurativo ed ampiezza biologica e procedere dunque alla realizzazione di un overlay in disilicato di litio.

