L'Università di Copenaghen e l’Università di Cirillo e Metodio hanno recentemente condotto uno studio comparativo congiunto sull'affidabilità di tre metodi di valutazione del colore dei denti utilizzati in odontoiatria: studio ha valutato lo strumento di rilevazione del colore di TRIOS®, il sistema spettofotometrico computerizzato MHT SpectroShade™ e l'occhio umano.
Lo studio svolto dalle università ha rilevato che entrambi i metodi oggettivi, lo strumento di rilevazione del colore della soluzione di impronte digitali TRIOS® d il sistema spettrofotometrico computerizzato SpectroShade™, sono più affidabili del sistema visivo convenzionale – l’occhio umano. Tale conclusione è conforme ad una serie di altri studi citati dagli autori dello studio svolto. 7-9, 15, 16
Lo studio in vivo pubblicato nella Rivista internazionale della salute orale e dentale (International Journal of Oral and Dental Health) 2015 ha confrontato i tre metodi di valutazione del colore dei denti, concludendo che “L'affidabilità dei sistemi computerizzati oggettivi per la determinazione del colore è più alta rispetto al metodo visivo soggettivo.”*

Risultato dello Studio: “Lo scanner intraorale TRIOS® è stato facile da gestire e più comodo per il paziente rispetto al sistema colorimetrico utilizzato.”*
Corrispondenza di colori nel flusso di lavoro protesico
Lo studio ha evidenziato che per i pazienti la corrispondenza di colori è il fattore più importante per la valutazione della qualità della ricostruzione. Ciò è particolarmente rilevante per la regione anteriore.**
Tuttavia, la selezione visiva del colore con l'occhio umano nell'ambiente normale può risultare non affidabile ed incoerente a causa della complessità del colore del dente e dei fattori esterni, quali l'illuminazione, il colore dei vestiti o il trucco del paziente.
Per compensare queste variabili, la determinazione del colore è stata eseguita in luce naturale, ma lontano da tutte le finestre con luce diretta. I pazienti erano seduti sulla stessa unità dentaria della sedia con la lampada dentale spenta. L'angolo di ripresa per MHT Spectroshade, 3Shape TRIOS® Color e VITA 3D-master Vitapan soggettivo era lo stesso. Ai pazienti è stato chiesto di togliersi il rossetto o qualsiasi altro oggetto che avrebbe potuto incidere sulla valutazione dei colori. Inoltre, i pazienti con abbigliamenti di colore forte sono stati coperti con un panno bianco-grigiastro.
Lo studio ha rilevato che lo strumento di rilevazione del colore di TRIOS® è più affidabile dell’occhio umano. È un importante risultato, visto che poche cliniche dispongono di tempo o di risorse per soddisfare le condizioni ideali in cui è stato svolto lo studio per valutare il colore dei denti dei pazienti. Inoltre, se prendiamo in considerazione l'eventuale affaticamento degli occhi del medico o dell'assistente, l’affidabilità comprovata della funzione di rilevazione del colore di TRIOS® diventa ancora più significativa. La possibilità di fare affidamento con la massima serenità sui dati della rilevazione del colore con TRIOS® consente di risparmiare una grande quantità di tempo e dei passaggi del flusso di lavoro e conferisce maggiore coerenza e precisione della procedura.
TRIOS® è l'unico scanner con uno strumento di rilevazione automatica del colore incluso disponibile sul mercato. La soluzione per l'acquisizione di impronte digitali integra informazioni sul colore dei denti nella scansione intraorale, la quale viene successivamente utilizzata per progettare la ricostruzione. Ciò rende la comunicazione riguardante il colore dei denti più facile ed elimina alcuni passaggi del flusso di lavoro sia per i dentisti che per i laboratori.
I colori dei denti sono integrati nella scansione. Inoltre, le scansioni digitalmente condivisibili TRIOS® possono essere completate con foto e video intraorali HD, dato che TRIOS® include una camera intraorale che consente di ottenere foto e video di alta velocità ed è integrata nello scanner intraorale.
Metodologia dello studio
Lo studio ha messo a confronto tre metodi di rilevazione del colore: il metodo soggettivo (visivo) e due metodi oggettivi: TRIOS® e MHT SpectroShade™. Ottantasette denti di ventinove pazienti sono stati utilizzati nel test.
Nello studio è stato utilizzato un confronto visivo a coppie, siccome si ritiene che l'occhio umano e la percezione siano il fattore più importante nella valutazione del colore.
Lo studio ha concluso sostenendo l’uso dei sistemi computerizzati per la rilevazione del colore in odontoiatria,
affermando che “Il sistema di rilavazione del colore TRIOS®, nonché il sistema colorimetrico MHT SpectroShade™ sono stati in grado di rilevare diversi colori su tutta la superficie dentale, consentendo di determinare in modo estremamente preciso il colore del dente testato.”
Lo studio ha inoltre determinato che “l'ulteriore sviluppo di tali sistemi per l'uso clinico sarebbe giustificato e potrebbe costituire un potente strumento per la selezione dei materiali e per la progettazione di protesi, in particolare nell’odontoiatria estetica e ricostruttiva.”
*Fonte: Effectiveness of Shade Measurements Using a Scanning and Computer Software System: a Pilot Study
** Schropp L (2009) Shade matching assisted by digital photography and computer software. J Prosthodont 18: 235-241.
7. Bahannan SA (2014) Shade matching quality among dental students using visual and instrumental methods. J Dent 42: 48-52.
8. Judeh A, Al-Wahadni A (2009) A comparison between conventional visual and spectrophotometric methods for shade selection. Quintessence Int 40: 69-79.
9. Gehrke P, Riekeberg U, Fackler O, Dhom G (2009) Comparison of in vivo visual, spectrophotometric and colorimetric shade determination of teeth and implant-supported crowns. Int J Comput Dent 12: 247-263.
15. Derdilopoulou FV, Zantner C, Neumann K, Kielbassa AM (2007) Evaluation of visual and spectrophotometric shade analyses: a clinical comparison of 3758 teeth. Int J Prosthodont 20: 414-416.
16. Horn DJ, Bulan-Brady J, Hicks ML (1998) Sphere spectrophotometer versus human evaluation of tooth shade. J Endod 24: 786-790.
|
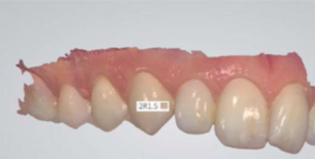
Screenshot della rilevazione del colore con TRIOS® |
|
Stesso dente - dispositivo colorimetrico MHT Spectroshade™ |
|
Grafico dello studio che mostra quale metodo ha fornito la migliore corrispondenza di colori 3Shape Trios® Color (Trios) e metodo visivo tradizionale |